GROSSETO. Due casi di sospetta mucca pazza, uno accertato con l’autopsia allo Spallanzani a Roma. E un fascicolo aperto in seguito alla presentazione della querela da parte dei familiari di un 61enne grossetano morto lo scorso maggio.
Due uomini e una donna sarebbero morti a Grosseto per la malattia di Creutzfeldt-Jakob (MCJ), una grave patologia degenerativa che colpisce il cervello, spesso associata al morbo della mucca pazza di cui è la variante umana.
Per il caso del 61enne, il sostituto procuratore Federico Falco ha aperto un fascicolo, dopo che i familiari dell’uomo hanno chiesto alla Procura accertamenti sulle cause di morte dell’uomo.
Fascicolo contro ignoti
Non c’è alcun sospetto che all’ospedale Misericordia non sia stato fatto tutto quello che c’era da fare per salvare la vita all’uomo. La famiglia del 61enne ha infatti depositato la querela solo per chiedere che venissero accertate le cause di morte: l’uomo infatti, ha dei figli, ed era fondamentale stabilire se ad ucciderlo fosse stata una malattia genetica trasmissibile che avrebbe potuti metterli in pericolo.
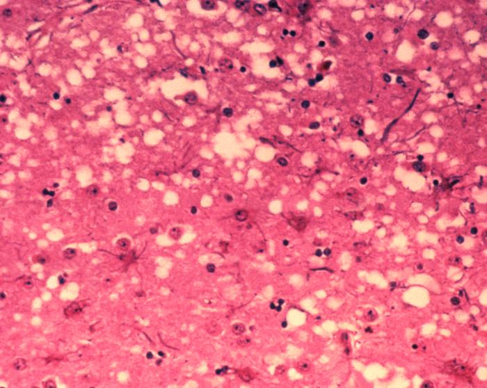
Assistiti dagli avvocati Alessandro e Roberto Cerboni, i familiari del sessantenne hanno ottenuto una prima risposta dall’autopsia: la forma di encefalopatia spongiforme che ha ucciso il sessantenne sarebbe quella sporadica, la forma più comune, che colpisce circa 1 persona su un milione ogni anno nel mondo. Rappresenta circa l’85% dei casi e interessa solitamente individui di età superiore ai 40 anni, in genere intorno ai 65 anni. Per questa forma non esiste una causa nota.
L’interrogazione dei 5 stelle
Quando la notizia del risultato dell’autopsia è diventata nota, il Movimento 5 stelle ha presentato un’interrogazione alla Regione Toscana, per chiedere quali siano le informazioni in possesso della Giunta «e quali azioni intenda intraprendere governatore Eugenio Giani nel caso in cui non si tratti di un caso isolato dipendente da fattori genetici – dice la capogruppo Irene Galletti – Quello che auspichiamo è che la Regione Toscana sia già in contatto con il Ministero della Salute per concordare un piano di sorveglianza epidemiologica veterinaria, per accertare che non ci sia un pericolo immediato per la popolazione».
Per la Cinquestelle «Il nostro sistema di vigilanza sanitaria, indebolito dalla pandemia e da una gestione politica incerta, deve farsi trovare pronto. Siamo certi che la nostra interrogazione potrà contribuire a mantenere alta l’attenzione della Giunta sul caso, quello che va assolutamente scongiurato – conclude Galletti – e che si ripeta una situazione simile a quella che alla fine degli anni ‘90 instillò una paura collettiva verso la carne di manzo, generando danni incalcolabili alle aziende agricole».




